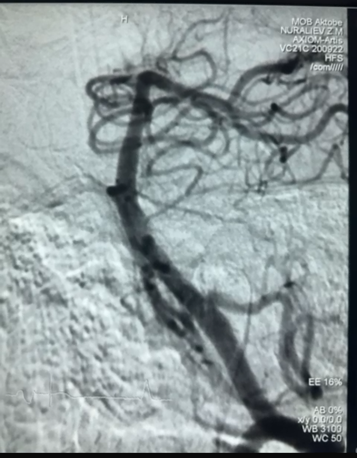
اخیراً یک مورد ترومبکتومی موفقیت آمیز با استفاده از Dredger Stent Retriever شرکت NeuroSafe Medical Co., Ltd. وجود دارد. Stent Retriever دارای یک نوک نرم غیر تهاجمی است که تا حد زیادی خطر آسیب انتیما را کاهش می دهد و دارای یک سوراخ منحصر به فرد به شکل خاص است. طراحی که لخته های خون را عمدتاً با بستن تغییرات شکاف جمع آوری می کند.





